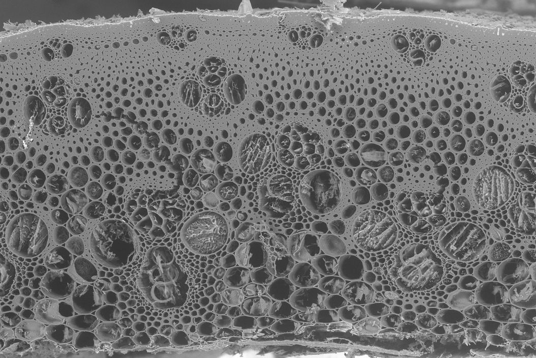
SEM image of the sample consisting of reed and brewers’ spent grain after surface polishing using the UC Enuity cryochamber at -120°C. The sample was transferred to the cryo-SEM (Zeiss Sigma 300) using the EM VCT500 transfer system. Courtesy of Claudia Mayrhofer, ZFE, Graz,  Austria.

Ultramicrotome UC Enuity in Practice: Stable 15 nm Sections at ZFE

Claudia Mayrhofer at ZFE Graz: UC Enuity’s cryo chamber enables in situ cryo-SEM via vacuum cryo transfer and speeds training for precise sectioning

SEM image of the sample consisting of reed and brewers’ spent grain after surface polishing using the UC Enuity cryochamber at -120°C. The sample was transferred to the cryo-SEM (Zeiss Sigma 300) using the EM VCT500 transfer system. Courtesy of Claudia Mayrhofer, ZFE, Graz,  Austria. SEM_image_of_reed_and_brewers_spent_grain_after_surface_polishing.jpg

Summary

At the Graz Centre for Electron Microscopy (ZFE), Ing. Claudia Mayrhofer shares how the ultramicrotome UC Enuity has changed day-to-day ultramicrotomy in a multi-user environment—especially during lectures and training. Having worked with the UCT and UC6, she calls UC Enuity a major step forward in stability—so robust that nearby movement and temperature shifts are far less likely to affect section quality. This robustness makes consistent 15 nm sections routine and reduces the pressure on beginners who are still building confidence at the instrument.

Beyond sectioning stability, Mayrhofer highlights features that streamline onboarding and shorten the time to reliable results. Automatic trimming, automatic knife-to-sample alignment, and the integrated camera support camera-assisted learning and help new users overcome hesitation—while still accelerating expert workflows. She also points to practical usability improvements for long sessions, including quickly adjustable ergonomics for different operators and better lighting compared with previous systems.

The interview also connects UC Enuity to a broader cryo workflow at ZFE: a cryo chamber paired with the EM VCT500 transfer system enables in situ preparation for cryo-SEM within the “Reed for Peat” project, where the mixture of reed and brewers’ spent grain are studied in in situ experiments. Looking ahead, Mayrhofer expects μCT-guided target trimming to become “state of the art” and anticipates first tests soon—positioning UC Enuity as a platform that supports both today’s sectioning needs and tomorrow’s targeted preparation strategies.

Key Learnings

  • High stability enables routine 15 nm sections, even in busy, multi-user training environments where vibrations and temperature shifts previously compromised quality.
  • Faster training and onboarding: autotrimming, automatic knife-to-sample alignment, and the integrated camera help beginners learn ultramicrotomy faster and produce results sooner.
  • Better usability for long sessions: quickly adjustable ergonomics for different users plus improved lighting make daily operation more comfortable and efficient.
  • Workflow expansion beyond sectioning: a cryo chamber with EM VCT500 enables an in situ cryo-SEM workflow today, with μCT-guided target trimming planned as the next step.

After using the UCT and UC6 ultramicrotomes, Claudia Mayrhofer calls UC Enuity a leap in stability—so robust that vibrations and temperature shifts don’t spoil sections, even with multiple users. Auto trimming, knife to sample alignment, and the camera accelerate training. At ZFE, a cryo chamber with a transfer system enables in situ cryo SEM; μCT guided target trimming is next, and 15 nm sections are routine.

The interview with Claudia Mayrhofer

Could you describe your experience transitioning from your previous ultramicrotome to the UC Enuity? 

Claudia Mayrhofer: We have both a UCT and a UC6 in our lab – but they are simply not comparable to the new UC Enuity. The difference is especially striking when several people are working at the microtome at the same time, for example, students during lectures or training sessions. Previously, they “weren’t even allowed to breathe” to avoid reducing the section quality. Now, the system shows an extremely high level of stability – it’s actually quite difficult to produce poor sections due to vibrations or temperature fluctuations.

The system shows an extremely high level of stability.

Figure 1: UC Enuity in use within our facility. Courtesy of Claudia Mayrhofer, ZFE, Graz, Austria.

It’s impressive how stable the UC Enuity operates – consistent 15 nm sections are no problem at all. The possibilities with this instrument are fantastic, and I haven’t even had the chance to test everything yet.

Consistent 15 nm sections are no problem at all.

Can you share a specific project or application where the UC Enuity played a critical role in its success? What was the scientific context or workflow?

Claudia Mayrhofer: The UC Enuity was acquired as part of the “Reed for Peat” project (Lead: Dr. Manfred Nachtnebel through Austrian Cooperative Research (ACR), supported by the Bundesministerium für Wirtschaft, Energie und Tourismus (BMWET)). In this project, peat is being replaced by reed mixed with brewers’ spent grain. The reed therefore has to be trimmed onto peat, requiring in situ experiments. For this, we need the cryo chamber and a cryo-transfer system (EM VCT500) to the cryo-SEM (Zeiss Sigma 300). The workflow has already been successfully tested and currently some handling steps at the ultramicrotome are being optimized.
At this point, I would also like to express my gratitude for the excellent support from Leica in Vienna. Without the UC Enuity – or with my older instruments – this workflow would have been unthinkable.

Figure 3: UC Enuity connected to the EM VCT500 transfer system to transfer samples to the cryo-SEM. Courtesy of Claudia Mayrhofer, ZFE, Graz, Austria.

Figure 4: SEM image of the sample consisting of reed and brewers’ spent grain after surface polishing using the UC Enuity cryochamber at -120°C. The sample was transferred to the cryo-SEM (Zeiss Sigma 300) using the EM VCT500 transfer system. Courtesy of Claudia Mayrhofer, ZFE, Graz,  Austria. 

Which features of the UC Enuity were particularly beneficial?

Claudia Mayrhofer: It’s also important that other people can operate the microtome. The automatic trimming function and automatic alignment between knife and sample are ideal for beginners, helping them to overcome their hesitation in working with such valuable equipment. Personally, I’m much faster without these features – but I also have over 20 years of experience. For me, microtomy is not just a profession, it’s a vocation.

Students learn ultramicrotomy faster and deliver results sooner; the integrated camera is especially helpful for training.

I also appreciate the UC Enuity’s ergonomics: they can be adjusted quickly for each user and comfortably support long experiments. Its lighting is improved compared with my previous ultramicrotomes, which makes day-to-day operation easier.

Students learn ultramicrotomy faster and deliver results sooner […] I also appreciate the UC Enuity’s ergonomics.

Figure 5: UC Enuity in use within our facility. Courtesy of Claudia Mayrhofer, ZFE, Graz, Austria.

Looking ahead, do you anticipate investing more in areas such as volume EM, target trimming using μCT and fluorescence, or cryo ultramicrotomy? How do you see the UC Enuity supporting or enabling these developments?

Claudia Mayrhofer: Target trimming based on μCT data will certainly become “state of the art” in the future. At the Graz Centre for Electron Microscopy (ZFE) we are in the fortunate position of having a μCT laboratory at TU Graz practically right across the street, which we can use. Preparing target areas with the help of μCT data will revolutionize sample preparation, as it saves a tremendous amount of time. I’m very much looking forward to the first tests, which will take place later this year.

Fluorescence will certainly become a topic for us in the coming years as well, although this depends heavily on future projects. We’ll see when the right idea for a fluorescence project comes along.

Preparing target areas with the help of μCT data will revolutionize sample preparation […] Fluorescence will certainly become a topic.

What’s the takeaway?

UC Enuity stands out for stability that keeps section quality high at 15 nm, even with multiple users. Training is faster thanks to auto trimming, alignment and the camera. Adjustable ergonomics and improved lighting support long sessions. A cryo chamber plus a transfer system enables an in situ cryo SEM workflow, with μCT targeting on the horizon.

Scroll to top