Leica Microsystems – News

See all that is happening at Leica Microsystems! Stay up-to-date about our latest innovative products, technologies, and applications.

For media enquiries, please use our contact form or get in touch with the Corporate Communications team directly via corporate.communications(at)leica-microsystems(dot)com.

News Leica Microsystems

Show details
Extended online shopping experience to customers in Germany

Convenient access to tailored microscopy solutions via AI-powered search

Leica Microsystems receives EcoVadis Silver Medal for sustainability performance

Leica Microsystems, a Danaher company and a leading provider of microscopy and scientific instrumentation, has been awarded the Silver Medal by…

Leica Microsystems and Fisher Scientific partner

Leica Microsystems has announced a new strategic and commercial partnership with Fisher Scientific.

3D high-multiplex imaging in cancer immunology. Kunz L., Speziale D., et al., Nat. Methods (2024)

The Microscopy Today Innovation Award-winning multiplexing solution for 3D high-plex imaging unlocks deeper biological insights.

Leica Shop available in UK

New platform with AI-powered search gives customers convenient access to tailored microscopy solutions

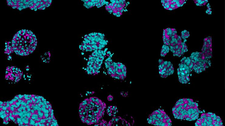
Large volume computational clearing processed Thunder image of human pancreatic islet organoid.

08 May 2025, Wetzlar, Germany - The Aivia 15 release includes deep learning-powered tools for 2D and 3D cell segmentation

Visoria Upright Microscopes from Leica Microsystems

6 May 2025, Wetzlar, Germany - Leica Microsystems introduces the Visoria series to power up microscopy routines across industrial, life science and…

Medana Company Image

April 2025, Wetzlar, Germany – Leica Microsystems, a leading provider of microscopy and scientific information, has strengthened its partnership with…

Ophthalmic surgeon with 3D glasses, Proveo 8x microscope in retina surgery, and Proveo 8x logo.

The Proveo 8x 3D digital microscope for ophthalmology debuts at ASCRS 2025 Los Angeles.

Super-resolution image of intracellular structures using a STELLARIS STED microscope and TauSTED Xtend.

Wetzlar, Germany, February 19, 2025, Leica Microsystems, a leader in microscopy and scientific instrumentation and advanced imaging solutions,…

Windows 10 will reach end of support in 2025. Microsoft will discontinue support for its Windows 10 operating system on October 14, 2025. Contact your…

LAS X Coral Cryo: Interpolation based targeting in 3D using sections through the z-stack in x and y direction. The markers can be moved interactively in all relevant windows.

Leica Microsystems, a leading provider of microscopy and scientific instrumentation, has announced a new partnership between Leica Microsystems and…

About Leica Microsystems

Leica Microsystems, a Danaher company, develops and manufactures fully integrated solutions for microscopic imaging and scientific instruments to analyze microstructures and nanostructures. The company empowers customers to unveil the invisible and build a better, healthier world.  Widely recognized for their optical precision and innovative technology, it is one of the market leaders in compound and stereo microscopy, digital microscopy, confocal laser scanning microscopy, and surgical microscopes. Their portfolio also covers imaging workflow solutions including sample preparation and AI-enabled image analysis. 

For over 175 years, Leica Microsystems has been shaping the future based on a culture rooted in customer focus and innovation.  The company has six major plants and product development sites around the world. It is represented in over 100 countries, has sales and service organizations in 20 countries, and an international network of distribution partners. Its headquarters are located in Wetzlar, Germany.

Downloads

Leica Building Wetzlar 01

Web Version (190 KB)

Print Version (26 MB) 

Leica Building Wetzlar 02

Web Version (300 KB)

Print Version (30 MB)

Leica Building Wetzlar 03

Web Version (299 KB)

Print Version (65 MB)

News Archive

Scroll to top